Successful trans-atrial stent procedure for dog with heart tumour at Northern Ireland Veterinary Specialists
A dog suffering from refractory ascites secondary to a compressive heart base mass recently underwent a minimally invasive transatrial stent procedure
A dog suffering from refractory ascites secondary to a compressive heart base mass recently underwent a minimally invasive transatrial stent procedure to relieve the obstruction. The procedure was successful with the patient discharged 24 hours later.
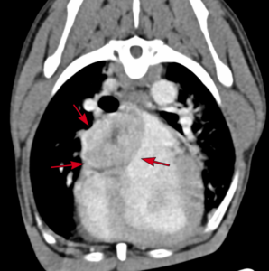
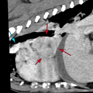
Barney, a 9 year old Soft-Coated Wheaten Terrier, presented to Northern Ireland Veterinary Specialists (NIVS) due to a 3 month history of refractory ascites and documentation of a cardiac mass by his primary vets, Banbridge Pet Vets. Investigations at NIVS by Julie Hamilton Elliott (RCVS and EBVS® Specialist in Veterinary Cardiology) confirmed the cardiac mass was causing compression of caudal vena cava entering the right atrium. This was resulting in Budd-Chiari syndrome with subsequent hepatic venous congestion and ascites. Computed Tomography (CT), performed for surgical planning, confirmed a large 4×3.7cm mass located between the right and left atrium with no evidence of secondary metastatic disease.


The minimally invasive, fluoroscopic-guided procedure involved accessing both the right jugular and left femoral veins. The location and extent of the mass was first determined by a contrast angiographic study. A series of catheters and guidewires were then used to deploy a woven Nitinol stent extending from the caudal to the cranial vena cava, through the right atrium. Repeat angiography revealed improved caudal vena caval flow and Barney recovered uneventfully. He was discharged the following morning.
Barney returned 2 weeks later for routine re-evaluation. His ascites had completely resolved and he was back to his normal self. Thoracic radiographs confirmed the stent remained in a stable position.
Palliative stenting of neoplastic vascular obstruction of the caudal vena cava was first described in humans in 1992 (Irving et al 1992). The positive outcomes of this procedure have extended to veterinary medicine where successful procedures have been reported in the literature (Schlicksup et al 2009, Weisse et al 2021) and anecdotally. Long term complications may include stent migration, neointimal tumour formation across the stent, thromboembolic events and metastatic disease however some dogs reportedly enjoy extended periods without a recurrence of clinical signs. In Barney’s case, prognosis was poor without intervention. Julie, also the lead referral vet at NIVS said, ‘it was extremely rewarding to successfully relieve Barney’s clinical signs through transatrial stenting as his quality of life was rapidly declining. Despite the complexity of the procedure, he was able to return to his owners the following day. This highlights one of the major benefits of interventional cardiology – in experienced hands, we can offer a minimally invasive, low pain procedure with rapid recovery for many patients.’
Transatrial stenting is one of several interventional procedures offered by the specialist-led cardiology service at NIVS. More routine procedures include pacemaker implantation, patent ductus arteriosus (PDA) occlusion, balloon valvuloplasty and trans-pulmonic stenting for pulmonic stenosis.
References
Irving JD, Dondelinger RF, Reidy JF, Schild H, Dick R, Adam A, Maynar M, Zollikofer CL. Gianturco self-expanding stents: clinical experience in the vena cava and large veins. Cardiovasc Intervent Radiol. 1992 Sep-Oct;15(5):328-33. doi: 10.1007/BF02733958. PMID: 1423394.
Schlicksup MD, Weisse CW, Berent AC, Solomon JA. Use of endovascular stents in three dogs with Budd-Chiari syndrome. J Am Vet Med Assoc. 2009 Sep 1;235(5):544-50. doi: 10.2460/javma.235.5.544. PMID: 19719445.

